Oh boy, it has been a minute since I’ve written a blog and I am SO behind on updates. I’m going to do my best to detail everything that has happened in the last few months, starting with December. I’ll also add a few pictures into this post, but if you want to see more details of my journeys, check out my travel instagram @meghantakeseurope.
So, intro out of the way, here is everything you have missed. This was my first Christmas since moving to Germany and my first Christmas alone in awhile. Knowing that it is my absolute favorite holiday of the year, I did not want to just sit in my apartment and do nothing. Thanks to my office’s holiday flexible schedule, I had plenty of time to travel during Christmas and New Years. For Christmas, I embarked on a solo trip to Dresden and Berlin with my reasoning being they are bigger cities and fairly multicultural, so I was fairly confident I would be able to find things to do despite the holiday. My trip started with a 6 hours train ride to Dresden, which ended up being about 10 hours due to delays. It was pretty brutal but luckily my hotel was super understanding and held my room for me even though I arrived after midnight.

Dresden was so beautiful. I’m sure a bunch of you saw the picture of the Christmas market in the big square that was circling around Facebook; that was Dresden. I drank a ton of yummy Gluehwein and hot chocolate, and I got to eat all my favorite festival foods, including crepes and currywurst mit pommes (curry sausage with french fries). My favorite part, however, was the outdoor Christmas concert on Christmas Eve. A band played a ton of instrumental versions of Christmas classics and the crowd was singing and dancing along; it was honestly so magical. I also got to see the Frauenkirche and the Walk of Princes which I learned about way back when in my German classes in college. It snowed a few days out of my trip and honestly it was just the best time.

After Dresden, I jumped on a (thankfully) much shorter train to Berlin on Christmas day. The ticket checker gave everyone some candy which was sweet. I went to a Christmas church service at an American church in Berlin and it was nice to feel at home with my fellow expats for the holiday. I then did some outdoor sightseeing because a lot of the museums were closed, so I went to the West Side Gallery which is where parts of the Berlin Wall were painted and on display. I also went to Checkpoint Charlie and the Brandenburg Gate. Finally, I rounded out my Christmas day with some delicious Indian food. I then spent the next few days in Berlin eating lots of delicious food and doing as many museums as I could possibly squeeze in. At the Alte Museum (Old Museum), I was amazed at how old some of the exhibits were. Especially as an American whose country is only about 250 years old, seeing things that were from 3000 BC and earlier was just surreal.

My solo trips were really fun and super interesting for me to do. Obviously, I have lived in and traveled around Germany before, but these were my first experiences with extended solo travel (meaning more than just day trips) and I learned a lot about myself and my comfort levels during these trips. In the US, I eat dinner alone and see movies alone all the time (which makes me sound aggressively single, I’m aware LOL), and I don’t experience any discomfort, but in Europe, I felt more aware of my aloneness and it took a minute to feel comfortable. I love putting myself out of my comfort zone though because as my favorite English teacher, Ms. Pavelka, always used to say, growth is never experienced in comfort. (Ms. Pavelka, I bet you never thought a simple saying would stick with a random Junior in high school as much as it has, but I really live my life by your wisdom. You will always have a huge impact on me, so thank you!). The best part about these trips is that I really did not feel lonely on the holidays like I was worried I would. I felt like I was on an adventure and Germany really knows how to embrace the Christmas spirit, so it was magical.

Once I returned from my trips to northeastern Germany, I only had about a day of down time before my next adventure. A friend of mine I had recently met told me it seemed like I was fleeing the country constantly, which made me laugh. It was honestly a relatively accurate statement. Once I was back from Berlin, I did some laundry, repacked my bags, and then caught a flight to Budapest, Hungary with my friend Vee. Vee is also in Germany, but a different part but we’ve been able to meet up a few times and love to travel together. This was my first time in Hungary and it was so interesting. I learned a lot about the culture and politics while I was there that I really didn’t have any awareness of previously. There were a lot of protests about the government and the economic situation, and experiencing those things always helps to put into perspective how blessed I am. Don’t get me wrong, America is messed up in many ways, but I also have a lot of freedoms that I am grateful for.

Aside from the heavy stuff, Budapest was beautiful. The architecture there was gorgeous and the people were incredibly friendly. The food was warm and hearty and the wine was so delicious. Vee and I did a wine tasting at a small underground cellar which was SO cute, and the history and variety of the wines was fascinating and delicious. Additionally, because our trip was over New Years, Vee and I did a New Years Eve pub crawl. We met a lot of friendly and interesting people from tons of other countries and it was a fun way to experience the city. I definitely needed a dry January afterwards though, which I did complete successfully haha.

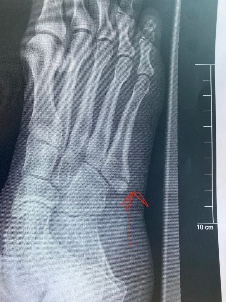
After getting back from Budapest, things hit a bit of a snag. First, I got really sick, probably from my incessant traveling. It started as just a bad cold and devolved into a fever and eventually bronchitis. I used to have really bad asthma as a kid, so when I started wheezing, I finally took my butt to urgent care and got some meds to help open my airways. After a week of pretty much bed rest, I finally started feeling better and decided I needed to go out and get some groceries. This is where the true tragedy begins, LOL. I live on the top floor of my apartment building (Penthouse style, what what!) and made it all the way downstairs to the last step, when suddenly, disaster struck. I sorta missed the step and my foot went wonky and I heard a snap. I collapsed to the ground in pain. Me being the delusional queen that I am, I was like “It’s okay, I probably just sprained it, we’re good.” I hobbled to my car and that was when I realized I truly was delusional. My foot was throbbing and it hurt so bad that I got a little dizzy and clammy. It took me a minute to come to terms with the fact that I probably had broken something. I called my AMAZING friend Jessie who took me to the ER, and after a cool 6 hour visit and a couple of X-rays, it was confirmed that I broke my 5th Base Metatarsal in my right foot. I was put in a hard cast and given crutches with instructions to return in a week for further X-rays. The doctor was unsure whether I would need suregery based on how my bone broke, but he wanted to see how my foot was looking when the swelling went down a bit before making a decision. Thankfully, the follow up X-rays looked good, and despite my entire foot being green and purple from bruising, no surgery was needed. This was a HUGE win because I was emotionally not handling the idea of surgery very well. My hard cast was taken off and I was put in a walking boot for 6 weeks. I had to use crutches still for another 2 weeks in combination with the boot before I could comfortably put weight on my foot, but I am stoked to say that tomorrow is officially 6 weeks post-break and I seem to have healed really well. I have no more bruising and very minimal pain, mostly when I have done a lot of walking and need to rest it. I’m starting to walk without the boot for short durations at a time and I’m feeling pretty good. My tendons and ankle are super tight from lack of use so I feel like I’m walking pretty funny, but I know that will get better with time. HUGE shout out to my guy Jessie though who drove me to all my appointments and took me to get groceries and drove my butt to work for like 2 weeks straight. Really could not have survived this without his friendship and I cannot thank him enough.

So, with that win and being more mobile, I decided to go to Munich over the long weekend this past weekend and I dragged Jessie along with me for some sightseeing. It was a blast and aside from a slight mix-up with the hotel where we spontaneously had to move rooms in the middle of the trip, the weekend was overall a success. We did Neuschwanstein castle and a bunch of touristy things in Munich istelf, including the Hofbraeuhaus. I haven’t had a liter of beer in awhile and boy did mine do me in LOL.

I don’t have any major trips planned just yet for upcoming weekends, but I’m sure I’ll be doing things now that I am free from the boot, so I’ll be sure to update everyone as I make plans. I also will be visitng the States for some training in April where I’ll get to see Jake on the weekend, and I’m gonna make the trip out to California to see my parents for a week as well. It hasn’t been that long since I’ve been gone, but I’m so excited to see friends and family, and by the time I get back, Germany’s weather should be improving. The rainy grey days are not my favorite.

That’s all I have for now. As always, love and miss you all endlessly. Please feel free to write or reach out to plan a visit. one of my best girlfriends from college just reached out about visiting and I can’t wait to host her if everything works out (Hi, Erica!), so please feel free to visit any time. Until my next post, which hopefully doesn’t take as long!

glad you are feeling better….I love reading what you are doing and where…I missed your blogs…
LikeLike